Veterinario de caballos en Huelva | José Luis Rubiales Ortiz
Ofrecemos servicios avanzados de ecografía y radiología digital para caballos con unidad móvil. Nos desplazamos a cualquier punto de Huelva, Sevilla, Cádiz, Badajoz y el Algarve portugués.
En JRO Veterinario Equino el diagnóstico por imagen es una herramienta clave para valorar lesiones, orientar el tratamiento y tomar decisiones con más precisión. Dentro de este servicio trabajo principalmente con radiología digital y ecografía, dos técnicas no invasivas que permiten obtener información muy útil sin necesidad de desplazar al ejemplar.
Para ti como propietario, esto tiene una ventaja muy clara: menos complicaciones logísticas, menos costes añadidos y resultados rápidos. Y para el caballo, supone una valoración más cómoda y práctica, especialmente cuando hablamos de lesiones, cojeras, inflamaciones o seguimientos que conviene revisar en el propio lugar donde se encuentra.
Aunque a veces se nombran por separado, lo realmente útil es entender que radiología digital y ecografía no compiten entre sí, sino que se complementan. Cada una aporta información distinta y, juntas, nos ayudan a valorar mejor el problema del caballo.
En nuestra forma de trabajar, no se trata de hacer pruebas porque sí, sino de utilizar la herramienta que más sentido tiene en cada caso. Hay situaciones en las que la radiología nos da la información principal, y otras en las que la ecografía resulta mucho más útil. Lo importante es orientar bien el diagnóstico para tratar con más acierto.
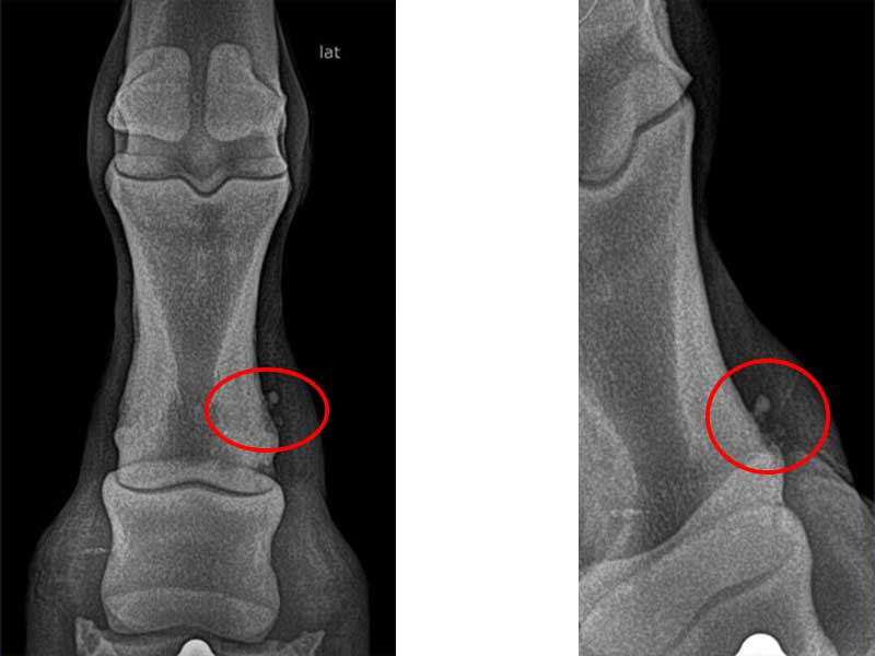
La radiología digital es una herramienta imprescindible en la valoración diagnóstica de muchos problemas equinos. En JOSE LUIS RUBIALES Veterinario trabajo con un equipo portátil de radiología digital de alta calidad, lo que permite obtener imágenes claras en muy poco tiempo y trabajar con una base mucho más precisa.
Una de las grandes ventajas de este sistema es que no hace falta trasladar al caballo. Eso reduce estrés, evita costes adicionales y acelera el proceso. En lugar de perder tiempo organizando desplazamientos, podemos centrar la atención en valorar la lesión y orientar mejor el siguiente paso.
Además, disponer de imágenes en pocos minutos ayuda a actuar antes y con más criterio. En muchos casos, un diagnóstico más preciso evita complicaciones posteriores en el tratamiento y permite ajustar mejor el manejo del caballo desde el principio.
VENTAJAS DE LA RADIOLOGÍA DIGITAL:
La ecografía es otro medio de diagnóstico no invasivo fundamental en medicina equina. A través de ondas de sonido, podemos obtener una imagen digital de los tejidos blandos y valorar estructuras que no se estudian igual con radiología.
En la práctica, la ecografía es especialmente útil para revisar lesiones de tendones y ligamentos, algo muy frecuente en caballos de deporte. Pero su utilidad no se queda ahí. También la utilizo para valorar desgarros musculares, bultos, hinchazones y distintos procesos en los que se necesita ver con más detalle qué está ocurriendo en los tejidos blandos.
En determinados casos, también ayuda a eco-guiar con mayor precisión la colocación de agujas para biopsias o infiltraciones en zonas más difíciles del cuerpo.
En el servicio de reproducción equina, el control ecográfico es una herramienta que me permite valorar el estado de la yegua, la confirmación de la gestación y el control de la gestación. Todo esto representa para los criadores la tranquilidad de tener el control y la información que les permite tomar las mejores decisiones en reproducción asistida. Además de reducir costes, tiempos y pérdida de temporada de cría.
CUÁNDO ES MÁS INTERESANTE APLICAR LA ECOGRAFÍA:
Si tu caballo necesita una valoración por imagen, en Jose Luis Rubiales Veterinario Equino puedo ayudarte con radiología digital y ecografía equina en Sevilla, Huelva, Cádiz, Badajoz y Algarve
Tanto si hablamos de una lesión, una cojera, una inflamación, un problema de tejidos blandos o un seguimiento reproductivo, contar con una prueba de imagen adecuada puede marcar la diferencia a la hora de diagnosticar y tratar mejor.
Como veterinario especializado en équidos, ofrezco este servicio de clínica ambulatoria de diagnóstico por imagen en la zona de Huelva, Badajoz, Sevilla Cádiz y Algarve portugués, con un enfoque práctico y ambulante que busca facilitar tanto la valoración del caballo como la toma de decisiones del propietario.
El diagnóstico por imagen para caballos, ya sea radiología o ecografía, es una parte fundamental de la medicina equina actual. La radiología digital nos ayuda a obtener imágenes rápidas y precisas sin desplazar al caballo en muchos casos, y la ecografía nos permite valorar tejidos blandos, lesiones tendinosas, musculares, inflamaciones y seguimientos reproductivos con gran utilidad clínica.
Trabajo con propietarios particulares, cuadras y centros ecuestres que buscan una atención profesional, cercana y práctica para mantener la salud y el bienestar que cada caballo merece.
Si buscas un servicio de diagnóstico por imagen para caballos en la zona de Huelva, Badajoz, Sevilla Cádiz y sur de Portugal, te invito a informarte y solicitar este servicio.
La clínica móvil permite responder con agilidad y acercarme a tus instalaciones para valorar el caso de tu caballo.
La radiología digital resulta muy útil cuando necesitamos obtener una valoración más precisa de una lesión o completar el diagnóstico de determinados problemas locomotores. Además, al tratarse de un sistema portátil, en muchos casos permite estudiar al caballo sin necesidad de desplazarlo.
La ecografía equina se utiliza sobre todo para valorar tejidos blandos, como tendones, ligamentos y músculos. También es muy útil para revisar bultos, hinchazones, procesos reproductivos y para guiar infiltraciones o biopsias en zonas más complejas.
Son dos técnicas distintas que se complementan. La radiología digital aporta un tipo de imagen muy útil en muchos estudios diagnósticos, mientras que la ecografía permite valorar mejor los tejidos blandos. Lo importante es elegir la prueba más adecuada según el problema que presente el caballo.
El objetivo de estos equipos móviles es no trasladar al ejemplar (salvo en casos graves en los que se valora el traslado a un hospital veterinario). Una de las ventajas del servicio de diagnóstico por imagen equino es que podemos realizar la valoración en el propio lugar donde se encuentra el caballo, evitando desplazamientos, estrés y costes adicionales.
Con la radiología digital, las imágenes se obtienen en pocos minutos, lo que permite valorar antes el problema y orientar el tratamiento con mayor rapidez. En ecografía, la interpretación también se realiza durante la propia exploración.
Sim. Na JR Equine Veterinarian, ofereço serviços de diagnóstico por imagem para cavalos em todo o sudoeste da Península Ibérica. Isto inclui as regiões de Huelva, Badajoz, Sevilha, Cádis e o sul de Portugal.
Este serviço de diagnóstico por imagem inclui a radiografia digital e a ecografia como ferramentas essenciais para uma avaliação mais precisa.
Sí. En JR Veterinario Equino ofrezco el servicio de diagnóstico por imagen para caballos en toda la zona suroeste de la península. Esto abarca la zona de Huelva, Badajoz, Sevilla, Cádiz y sur de Portugal.
Este servicio de diagnótico por imagen, incluye radiología digital y ecografía como herramientas clave para una valoración más precisa.
Envía tu WhatsApp ¿Cómo puedo ayudarte?